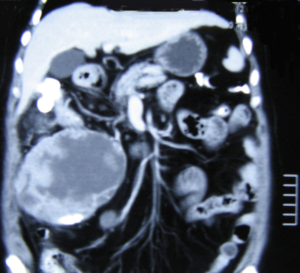
患者 女,73岁。因右肝肿瘤介入化疗术后2个月,腹胀痛伴发热10d入院。2个月前患者自行发现右上腹一巨大包块,CT检查提示肝右叶16cm ×13cm ×10cm 巨大占位,强化后考虑为肝恶性肿瘤,即行肿瘤穿刺活检。病理诊断:低分化细胞癌,行经肝动脉栓塞化疗2次。10d前突感腹痛,伴有发热。体查:贫血貌,皮肤巩膜无黄染。右上腹巨大包块,下达髂前上棘上方,质韧、囊实性,稍有活动感,无压痛。肿瘤标志:CEA,CA199,AFP检测均在正常范围。乙肝血清检查示阳性。复查CT示:肝脏右后叶外生性巨大肿块,大小约25cm ×20cm ×15cm,呈不规则分叶状、囊实性,密度不均,散见碘油沉积高密度影,中心呈片状低密度区,增强后实质部分动脉济南军区总医院肝胆外科张建平
期不均匀强化,邻近结肠、十二指肠受压、移位,界限不清。诊断:原发性肝癌。行肝Ⅵ 段切除+肿瘤切除+结肠部分切除术,术中证实肿瘤源于右后叶下缘,呈外生性生长。术后病理:肉瘤样肝癌伴囊性变、出血。免疫组化:CK19(-),AFP(-),hepatocyte?1(-)。术后12d痊愈出院。随访5个月,情况良好。

相关文章