内蒙古赤峰市医院血管外科 党永康 赵海涛 郭建全 鲍永涛
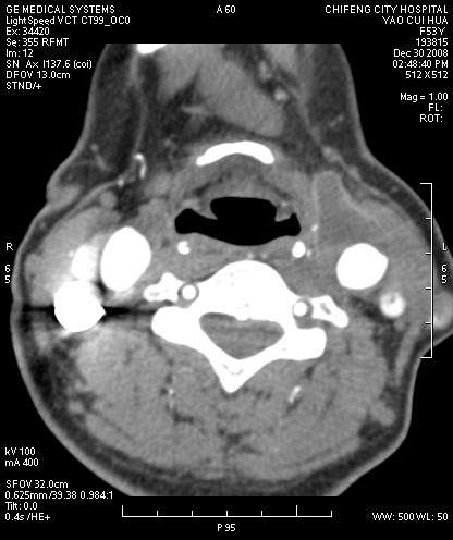
2009年元旦刚过血管外科收治了一个52岁的女性患者,左颈部可以触及乒乓球大小的搏动性包块。经过B超及头颈部CTA检查确诊为:颈总动脉瘤瘤腔内大量附壁血栓形成。病人随时有血栓脱落导致脑栓塞的可能。经过血管外科全科会诊,决定手术切除动脉瘤取出血栓,摘除这颗随时威胁到比如生命的炸弹。赤峰市医院血管外科党永康
3日经过麻醉科张希哲主任,梁晓东副主任医师的会诊顺利实行手术,为确保病人手术中脑部安全决定行颈丛神经阻滞,并给与手术中颈动脉测压防止意外发生。9时手术开始,顺利切开颈总动脉瘤取出3×1.5cm血栓,植入直径8mm长约5cm的德国贝朗人造血管。病人术中神情语利,无肢瘫,手术取得圆满成功。
颈总动脉瘤临床罕见,病因主要为动脉硬化,高血压,血管壁自身病变导致。因其与大脑关系密切,手术复杂风险大,此例手术的开展标志着我院血管外科,麻醉科在此类手术治疗,麻醉方面居于全区领先地位,缩短了与全国水平的距离,文献检索全区尚无此类手术报导,此为全区首例。
2009/4/22



相关文章