1.什么是颅内动脉瘤呢?
循环系统通过血液循环来供给体内所有组织、器官所需的氧份,大脑需要的血液占全身总血液的1/4,如果血管在生长发育过程中发生异常,在血液长期冲击下,血管壁就会变薄,逐渐膨出产生动脉瘤,如果长在颅内,就叫做颅内动脉瘤。山东省千佛山医院神经外科孟祥靖
2.患颅内动脉瘤的人多吗?
颅内动脉瘤是脑血管疾病中的常见疾病,据统计发生率为全人口的1%-2%,动脉瘤破裂数为每年10万人中有16人,我国患颅内动脉瘤后的治疗率不到5%,因为其常常被误诊、误治。
3.患颅内动脉瘤后有哪些危险?
颅内动脉瘤可以导致病人偏瘫、失语、昏迷、死亡。动脉瘤就像一个汽球,有一定的承受能力,当承受不住时就会破裂,这时血液就会流向脑组织,导致蛛网膜下腔出血、脑室出血等,第一次出血的死亡率为15-20%,如果第一次出血后病人没有死亡,也没有得到及时治疗,很快就会发生第二次出血,死亡率就高达80%,因此我们称之为定时炸弹。

4.患颅内动脉瘤都有哪些症状?
如果动脉瘤较小并没有破裂,则没有什么临床症状,因此很难诊断,如果动脉瘤较大,就会压迫视神经、动眼神经,导致视力下降、眼睑下垂等,如果动脉瘤破裂了,病人就会感到剧烈疼痛、面色苍白、出虚汗、昏迷、偏瘫,失语等症状。

5.如何早期诊断颅内动脉瘤?
最直接最准确的诊断方法是全脑血管造影,因此被6称之为诊断动脉瘤的金标准。近几年神经影像学技术发展很快,像CT、磁共振血管造影检查也可以发现一部分颅内动脉瘤,而且没有创伤,但如果动脉瘤太小,就只能通过血管造像检查来确定。
6. .如何治疗颅内动脉瘤呢?
① 开颅手术,开颅后在显微镜下进行分离,夹闭动脉瘤,但夹闭时容易引起动脉瘤的出血,而且深部动脉瘤手术的风险较大,术后病人恢复慢,有些病人如年老体弱者也不适合进行手术。
② 微创血管内介入栓塞动脉瘤。七十年代中期有人发明了用介入方法治疗颅内动脉瘤,当时使用的材料 主要为球囊,但临床效果不佳;八十年代开展了用游离弹簧圈栓塞治疗颅内动脉瘤,通过导管将弹簧圈放入动脉瘤囊内,使其闭塞,但游离弹簧圈可操作性和安全性较差,经常有弹簧圈脱出等问题;到了九十年代,新的电解可脱式弹簧圈(GDC)问世,使动脉瘤的栓塞治疗安全而可靠,治愈率达95%以上。21世纪初,又有人将血管内支架结合GDC来治疗那些宽颈的或梭形的颅内动脉瘤,以往单纯GDC难以治愈的动脉瘤,取得了明显的成功。因此,几乎可以说任何部位、任何形状的动脉瘤都可以通过介入栓塞的方法来治疗。
血管内介入栓塞治疗动脉瘤,以其创伤小、痛苦少、恢复快、疗效稳定、急诊出血期也能进行、年老体弱者也能承受告等优点,广受动脉瘤患者的喜欢。

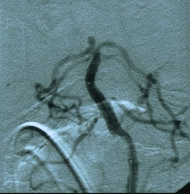
基底动脉顶端动脉瘤栓塞前

动脉瘤栓塞后
相关文章