对川崎病冠状动脉瘤合并心肌缺血者,除生活方式干预和药物治疗外,通过外科手术或介入方法,重新建立冠状动脉血运是预防心肌梗死、纤维化、心功能不全、心律失常,改善预后的更为积极有效的措施。
病例报告:
某患儿男,10岁,平素“无明显不适”,因自幼发现“先天性心脏病,室间隔缺损”,常规复查超声心动图时发现“左冠状动脉主干动脉瘤形成,内径10mm,管壁增厚,管腔不规则和附壁血栓。右冠状动脉瘤内径6mm。左心室扩大,舒张末内径45mm,左室下壁、侧壁、前间隔和心尖部室壁变薄,运动减弱,左室收缩功能减低,射血分数40%;。
心电图显示II、III、AVF及V1-3导联q波,T波倒置。
仔细追问病史,患儿祖父母回忆,患儿1岁时曾于高热后出现过眼红、口唇发红及皮疹等症状,但因体温很快正常,未系统诊治。
入院后经化验血、四肢动脉及头颈部动脉血管超声、大血管CT等检查,除外结节性动脉、大动脉炎等风湿免疫系统疾病。
最后诊断“川崎病后遗症-冠状动脉瘤,冠心病,陈旧性心肌梗塞(前间隔、下壁、侧壁、心尖部),心功能II级”。
治疗:
(1)基础治疗:
因患儿有猝死风险,需限制活动量,严禁做剧烈运动。给予生活方式指导,以预防早发的冠状动脉粥样硬化,包括避免高脂饮食、控制体重,预防肥胖等。服用小剂量阿司匹林预防冠状动脉瘤内血栓形成。予开博通、螺内酯及利尿剂等治疗维护心功能。
(2)是否需要行冠脉血运重建?
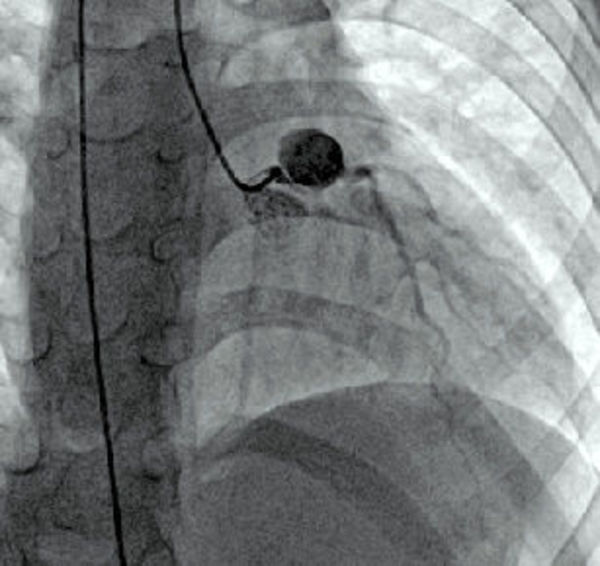
冠状动脉造影显示,左主干巨大冠状动脉瘤形成,位于前降支和左回旋支开口处,瘤体直径约10mm,瘤壁钙化,管腔内有血栓形成,局部狭窄达90%;(见图)。右冠状动脉瘤直径约6mm,局部狭窄约70%;。远端血管管腔均通畅。
腺苷负荷心电图+核素心肌显像结果阳性,提示存在心肌缺血。
经内、外科讨论后认为,患儿冠状动脉三支病变,特别是左主干有重度狭窄,并存在明显心肌缺血,有猝死风险;左室扩大,多个室壁节段运动减弱,左室收缩功能不全,应积极行冠脉血运重建治疗。
遂在非体外循环下以大隐静脉为移植血管,分别为左前降支、左回旋支、右冠脉行冠状动脉旁路架桥术。
术后继续术前的药物治疗。术后6个月电话随诊,患儿活动耐量明显改善,但做剧烈活动后仍有胸前区不适感。复查心脏超声显示左室收缩功能改善,LVEF55%;;CT显示冠脉桥通畅。
讨论:
川崎病好发于亚洲人群,据统计日本及台湾等东亚地区5岁以下儿童发病率为150/10万,欧美则为10-15/10万。川崎病病理上是一种全身性血管炎,主要影响中小动脉,冠状动脉尤易受累,冠状动脉瘤是其最为严重的并发症。以往冠状动脉瘤发生率高达15-25%;,目前应用大剂量丙种球蛋白冲击治疗方案后,冠状动脉瘤发生率已降低至5%;,直径大于8mm的巨大冠脉瘤的发生率约1%;。其中1岁以下发病的婴儿,和对丙种球蛋白治疗无反应的患儿,冠状动脉瘤发生率相对高。
川崎病急性期短暂性冠状动脉扩张的发生率约18.8%;。超声心动图观察到一般在起病10天左右冠状动脉开始扩张。但2/3的病例是暂时性扩张,3-5周后绝大多数可以恢复正常。
冠状动脉瘤主要位于左、右冠状动脉主干及较大的冠脉分支,一般不累及远端小分支。由于川崎病后冠状动脉存在持续内皮功能不全,瘤内常常有血栓形成,冠状动脉瘤、尤其是巨大冠状动脉瘤常并发管腔狭窄,甚至闭塞,导致心肌缺血、心肌梗塞和猝死。
根据一组日本的临床资料,川崎病的心肌梗塞发生率为1.1%;,是川崎病死亡的主要原因。心肌梗塞绝大多数发生在起病1年内。不同与成人冠心病,川崎病的心肌梗塞可在任何情况下发病,更多出现在夜间睡眠或休息时,表现为虚弱、呕吐、腹痛、胸痛、休克等。50%;的心肌梗塞病例在发生前可没有没有心肌缺血症状,37%;的心肌梗塞发生时亦无症状。这或许可能与儿童不能主诉症状有一定关系。
该资料还显示,由于缺乏心肌缺血预适应过程和侧枝血管代偿,川崎病初次心肌梗塞发作的死亡率高达22%;。初次心梗发作后生存者,16%;会再次心梗。第二次及第三次心肌梗塞的死亡率分别达到63%;、83%;。心肌梗塞后死亡的病例多系左冠状动脉主干病变,生存病例主要是单支病变,尤其是右冠状动脉病变。
川崎病并发冠状动脉瘤者,除需要长期抗血栓治疗、预防冠状动脉早期硬化外,在随诊中还应特别注意有无心肌缺血。如果有心肌缺血表现(包括心绞痛症状,心电图或超声心动图改变),或者虽无心肌缺血表现,但负荷试验(包括负荷核素心肌灌注显像、平板运动心电图或负荷超声心动图等)有心肌缺血证据,则应进一步行冠状动脉造影,了解冠状动脉病变情况,评估冠脉血运重建治疗的必要性和可能性。
冠脉血运重建治疗的目的是为处于缺血中的心肌提供血运,是更为积极有效的预防心肌缺血坏死、纤维化、心功能不全、心律失常,和改善预后的措施。
川崎病冠状动脉瘤冠脉血运重建的适应症如下:
(1)有心肌缺血症状。
(2)虽无心肌缺血表现,但负荷试验(包括负荷心肌灌注显像、心电图或超声心动图等)发现心肌缺血证据。
(3)冠状动脉造影显示冠状动脉狭窄75%;或以上,左主干狭窄50%;或以上,有猝死风险。
冠脉血运重建有外科手术和介入治疗两种方式。但目前尤其是国内,低年龄、低体重是制约实施血运重建治疗的主要困难。本文上述病例是国内为不多的为较低龄儿童做的冠脉搭桥手术。
冠状动脉血运重建的方法:
(1)介入治疗
主要适用于局限性、非开口处的非长段冠脉病变。包括经皮冠状动脉球囊成形术(即PTCA)、冠状动脉支架植入术、璇磨消融术和冠脉内溶栓治疗等几种方式。
PTCA:要求病变无钙化或仅轻度钙化,是较低龄患儿的一线治疗。选择扩张时压力不宜过高,否则的容易形成新生冠状动脉瘤。此外。PTCA术后再狭窄率较高,可达到15%;。
冠状动脉支架植入术的管腔通畅率高,能预防PTCA术后再狭窄,可用于较长段病变。但不适于严重钙化性病变。因操作需较大的血管通路,要求年龄>;13岁,故不适用于低龄患儿。
璇磨消融术:适用于合并严重钙化病变较大龄儿童。
冠脉内溶栓治疗:采用在冠状动脉内给予t-PA溶栓治疗,后续以肝素抗凝治疗,这是低龄小患儿的唯一选择。
(2)冠状动脉旁路移植术(CABG)
即日常所说的冠状动脉搭桥术。左主干病变及不适用于介入治疗者,可考虑行CABG手术。但因低龄患儿手术操作困难,最佳手术年龄最好在5岁以上。文献报道的病例数较多的大组研究中,平均手术年龄在10岁左右。
如果可能,推荐使用胸内动脉作为移植血管,尤其是低龄患儿。因与大隐静脉相比,胸内动脉具有生长性,晚期通畅率也更高。

相关文章