一、定义与流行病学
Chopart关节也称跗间关节或跗横关节,由跟骰关节和距舟关节组成,以距下关节为参照,分别处于内翻和外翻位。二者作为一个功能单位连接后足。Lisfranc关节由跖跗关节复合体构成,包括内、中、外楔骨、骰骨及与5块跖骨形成的关节面。足舟骨与楔骨及足舟骨与骰骨间也形成关节,但并未专门命名。Lisfranc关节构成了足纵弓和足横弓的基础(图.1)。

图.1
中足骨结构解剖图。图.1-A,上面观;图.1-B,下面观;图.1-C,内侧观;图.1-D,外侧观;图.1-E,冠状面观。注意图.1-A和1-C中的红线,表示中足的正常对线,
包括距骨、足舟骨、内侧楔骨和第1跖骨
涉及Chopart关节和Lisfranc关节的中足骨折在临床上极易漏诊,33%的此类损伤均没有明显的X线表现,不少临床医师对此类骨折也较为陌生。据统计,Chopart关节损伤在临床上极为罕见,而Lisfranc关节复合体的损伤也不常见,上述2关节损伤的年发生率仅为0.2%或1/55000。其中近1/3的此类损伤病例均由类似于运动损伤的低能量损伤造成,多与其他中足损伤同时出现,从而进一步增大了诊断难度。
二、骨与软组织结构的解剖
Chopart关节由距舟关节和马鞍形的跟骰关节构成。距舟关节为类球窝关节,足舟骨近侧面为深袋状,内容距骨头,可提供部分的关节稳定性。相关结构还包括跟骨前、中面,跟舟足底韧带和Y形的分歧韧带(图.2)。跟骰关节在垂直面上呈凹陷状,而在横断面上呈突起状,由跟骨的前关节面和骰骨的后关节面对合形成,此关节为高形合度关节,在足部着地时呈“锁定”状态。

图.2 足窝的解剖
Lisfranc关节由前侧和近侧跗间关节组成,是足纵弓和横弓的关键结构。在横断面上诸结构排列成梯形的“罗马拱门”结构,维持关节的横向稳定性,而第二跗骨基地则是维系关节纵向稳定性的关键所在。第1、2、3跗骨分别与相应的楔骨形成关节面,而第4、5跗骨则在骰骨的不同面上分别形成关节。(图.1)。这些小关节的稳定性主要通过韧带结构维系。
Lisfranc复合体的关节囊可划分前、中和外3个间室(相应的将此关节分为3柱),分别包绕第1跖跗关节、第2、3跖跗关节和第4、5跖跗关节。而关节周围的韧带可分为背侧、骨间和跖侧3群。其中骨间韧带最强大,对于关节的稳定非常重要。除第1-2跗骨外,其余跗骨间均存在此结构。在第2跗骨与中间楔骨间通过Lisfranc韧带相连,从而将Lisfranc关节的内、中、外3柱牢固固定。Lisfranc韧带是最粗壮的骨间韧带,这也是导致中足骨折-脱位损伤中,经常发生第2跗骨基底部跖侧撕脱骨折的原因(图.3)。跖侧韧带的强度大于与之对应的背侧韧带群,有助于中足“罗马拱门”结构的保持。

图.3
足非负重正位(AP)X线片。第2跖骨基底内侧缘与内侧楔骨外缘分离>2mm,注意其间的撕脱骨块
足背动脉穿过Lisfranc关节,从第1、2跗骨基底部之间向跖侧穿行形成跖动脉弓。发生中足骨折-脱位时,足背动脉易在此区域受累发生撕裂或栓塞,造成血肿或筋膜室综合症。腓深神经与足背动脉相伴行,支配第1、2足趾趾蹼的背侧区域。
多根肌腱与Chopart和Lisfranc关节相关,其中最重要的是胫前肌腱和腓骨长肌腱。胫前肌腱止于第1跖骨基底和内侧楔骨的背侧,是第1跖跗关节的动态稳定结构。当关节发生脱位时,胫前肌腱可能卡压于中间和内侧楔骨间而造成复位困难。腓骨长肌止于第1跖骨的下外侧面,可动态支持足纵弓和横弓。
三、中足的生物力学
“柱”理论有助于理解中足的解剖和生物力学。Chopart关节可划分为内侧柱和外侧柱。内侧柱包括距骨和足舟骨(距舟关节),属活动关节;外侧柱包括跟骨和骰骨(跟骰关节),属微动关节。内侧柱的远端与3块楔骨及第1、2、3跖骨相联系,诸结构之间几乎没有活动。外侧柱的远端与第4、5跖骨相连,属活动关节。整个中足,则由中、内侧楔骨和第2、3跖骨及其相关韧带结构构成中间柱,2侧剩余结构分别构成内侧柱和外侧柱。中足内侧柱在背侧-跖侧方向上可产生3.5mm的相对运动。整个中足的刚性主要通过中间柱结构得以维系,而外侧柱主要发挥吸收震动的功能。
当前足保持静止时,通过Chopart关节的活动可使后足发生轴向旋转。Chopart关节和距下关节组成一个功能单元,完成足的内外翻运动。当足跟处于外翻状态,跟骰关节和距舟关节呈平行排列,Chopart关节处于活动状态,而当足跟处于内翻状态,Chopart关节将转为“锁定”而无法活动,此时整个中足将处于固定状态,此情况常见于步态循环的推离期(图.4)。这一过程也被称为”绞盘机制”。在推离期里,第1跖跗关节发生明显背伸,足底腱膜和筋膜被拉紧,使足纵弓抬高和跟骨内翻,从而Chopart关节被锁定,中足和足纵弓进入固定状态。

图.4
Chopart关节的功能。左图显示足外翻状态,2关节呈平行排列。右图显示足内翻状态,2关节不再平行。图中高亮显示了距下关节复合体及后足的多维运动。TN =
talonavicular joint,距舟关节;CC = calcaneocuboid joint,跟骰关节
四、损伤机制
大多数跗骨间和跖跗关节损伤均发生于足跖屈且承受轴向负荷或扭转应力时。损伤部位多在第1、2跖骨基底部并根据承受应力的方向继发内侧或外侧脱位。其中内收应力多导致第2跖骨基底骨折伴脱位,同时可发生楔骨压缩骨折,即所谓的“胡桃夹子”损伤。
中足碾压伤或高处坠落物砸伤(暴力直接作用于中足背侧)非常少见,但往往伴有严重的软组织和/或神经血管损伤,后续发生足筋膜室综合症的可能性较大。
如果X线检查提示跖跗关节破坏而并无明确的临床病史支持时,应考虑夏科氏关节病(Charcot
neuroarthropathy)。虽然此类疾病仅在一小部分糖尿病性神经病变患者中出现,但中足却是此类疾病的好发部位,甚至可是某些糖尿病患者的首发表现。此类患者如能准确的诊断和恰当的治疗,可得以保肢和挽救生命。
五、损伤分型
1975年Main和Jowett曾根据损伤机制提出过1个分型系统,但接受度并不高。与之相反,由Qu´enu和Küss在1909年提出的分型系统得以广泛的应用。1982年,Hardcastle等对之进行了改良,共包括了分叉型、孤立型和同侧型3种损伤模式。此分型系统的优势在于标示出暴力或能量在中足不同区域的入口和出口,这正是中足损伤诊断和治疗的基础。最初的分型系统中,中足损伤被分为3型:A型,为整体分离;B型为部分分离;C型为分叉型分离。而在1986年,Myerson对后2型进行了进一步细分,分为B1型,部分分离内侧移位;B2型,部分分离外侧移位;C1型,分叉型分离部分移位;C2型,分叉型分离整体移位。在他们的分型系统中,不仅纳入了跖跗关节损伤,还包括了楔骨间和舟楔骨关节(图.5)

图.5
跖跗关节损伤的Myerson分型。图中箭头表示分叉型损伤
六、中足损伤的诊断
足部疼痛、肿胀伴跖侧瘀斑的患者应高度怀疑中足损伤。中足损伤的初诊漏诊率可达20%。应进行标准的影像学检查,包括足正位、侧位及斜位X线片,拍摄斜位片时应注意与跖跗关节平行。如果内侧楔骨与第2跖骨分离>2mm,则提示失稳(图.3)。X线片上的“斑点征”也是跖跗关节损伤的病理表现,通常位于第1、2跖骨基底部,提示Lisfranc韧带损伤所致的小撕脱骨折。CT扫描可更好地了解骨折模式,但由于CT仅能显示静态影像而无法进行负重位检查,所以不用于中足稳定性的判断。但“斑点征”或发现撕脱骨折,即使骨块很小也可提示中足失稳。
如果非负重位影像学检查中无阳性发现,应进行负重位X线检查。在双足站立正位片上,通过双侧对比可有效发现双足间的细微差异。如图1-A和1-C所示,在正、侧位X线片上,距骨-足舟骨-内侧楔骨和第1跖骨均应呈直线排列,如出现异常则提示关节半脱位和骨折。当患者因疼痛无法进行负重位X线检查时,可在麻醉下进行应力位摄片,以排除中足关节失稳。应力位摄片可按下列顺序进行:首先行足内收和旋前位检查;第2步则对中足内侧柱和中间柱施压并行X线检查。这2种检查均可诱导出跖跗关节移位(如果存在)。而沿Lisfranc关节屈曲中足并在此状态下进行侧位动态X线检查,则有助于检出背侧关节的半脱位或分离。
如果经过上述检查仍无法确诊,可行MRI检查以评估中足的软组织情况(图.6)。近来,Raikin等发现MRI检查结果与应力位X线检查间存在关联。他们的研究结果显示,跖侧Lisfranc韧带断裂与关节失稳高度相关。他们还据此提出了相应的临床算法,以确定患者是否需要进行应力位X线检查,适用于跖侧Lisfranc韧带完整而普通X线检查中“斑片征”阳性患者的鉴别诊断。但需要指出的是,MRI同样属于静态的影像学检查,无法据此判断关节失稳。

图.6
一名中足疼痛的青少年患者,冠状位T-2加权MRI影像显示跖侧Lisfranc韧带完整
适应证
无移位的稳定骨折适于保守治疗。此类病例需行短腿石膏固定并限制负重4-6周,待症状缓解后,可穿着矫形靴或支具进行负重训练。而跖跗关节移位病例,无论应力位X线检查结果如何均有手术治疗指针。
七、术前计划和/或前期治疗
接诊Lisfranc和Chopart关节急性损伤病例后,一旦确诊应立即予以手法复位,以降低周围软组织压力和保护伤区周围的皮肤活性。如果复位后关节能保持稳定,可予以夹板临时固定并等待后续治疗,这一时间通常为2周。但不幸的是,多数高能量Lisfranc关节损伤病例在复位后均无法保持稳定,此时需行外固定架固定,如果有必要还可增加1-2枚克氏针以提高固定强度。临时固定不可靠会加重周围软组织的损伤,甚至会造成皮肤全层坏死。在软组织肿胀消退前,移位的中足骨折很难或不可能进行解剖复位,而等待肿胀的消退将耗费大量的时间,所以应尽早进行良好的复位和可靠的临时固定以促进软组织的恢复。
对于第4、5跖骨-骰骨复合体移位或骰骨压缩骨折所致的中足外侧柱短缩畸形病例,仅需行单臂外架固定即可保持稳定,而对于内侧柱和外侧柱同时发生损伤或发生短缩畸形的病例(如中足遭受轴向暴力,骰骨、足舟骨和/或楔骨同时发生压缩骨折,如图.7),则需行双臂外架固定。前期研究中,已对外固定架技术和相应的护理措施进行了详细描述。对于Lisfranc损伤患者,还应对腓肠肌的弹性进行评估,如果存在僵硬或挛缩等情况,将使踝关节处于类马蹄足状态,需同期行腓肠肌退缩术进行矫正。后续开放复位和内固定手术将在软组织肿胀完全消退后进行。

图.7
1名接受双臂外架固定患者的足正位X线片。外架的内外侧臂通过经跟骨结节的斯氏针连接
八、后期手术技术
中足的诸多关节可分为必要关节和非必要关节。必要关节指的是与中足功能密切相关的活动关节,而非必要关节则是那些微动或无运动的关节。任何手术治疗均需重建或保留必要关节。而对于非必要关节,则可通过融合或植入永久性内植物进行复位和固定。中足的必要关节包括距舟关节和跟骰关节,以及骰骨和第4、5跖骨间的关节。中足的剩余关机均属非必要关节,包括:第1、2、3跖骨间关节,楔骨间关节和足舟骨-楔骨间关节。
复位和内固定手术应基于以下策略:首先,必须保持内侧柱的稳定,即使跖跗关节的运动会因此而受限也是可以接受的,所以在必要时可将第1、2、3跖骨与邻近的楔骨进行固定。其次,必须保留外侧柱(第4、5跖骨与骰骨)和距舟关节的运动。
总体上看,Lisfranc损伤的复位可遵循由近及远、从内侧向外侧的顺序进行。复位后,如果有必要可进行克氏针临时固定以保持骨折块的位置。在进行内侧柱复位前,应去除内侧外固定架,如果内侧柱的长度难以维持,可在去除外架前行克氏针临时固定。
足舟骨骨折的复位应先于楔骨骨折,应在完成内侧柱跖跗关节分离的固定后对骰骨骨折进行复位。跖跗关节复位所需的皮肤切口和肌肉剥离程序详见表I。上述常规手术技术非常重要,但在合并有其他骨折或足撕脱伤的病例中,可能需要在其基础上有一定的变化。手术切口可根据需要选择,足内侧、外侧或背侧皮肤切口均可。除CT检查明确提示跖跗关节跖侧基底部粉碎骨折病例外,不可选择跖侧切口。如果骰骨或跟骨损伤较复杂,可保留外固定架,直至二期内固定术后8周左右,以便于术后的早期活动、拉伸训练和按摩。
表I 显露跖跗关节的皮肤切口及所需剥离的肌肉结构

步骤1:内侧柱临时固定
撬拨第1跖骨,以内侧楔骨为参照复位近端关节面。向内侧牵开软组织,确保在直视下对内侧楔骨内侧缘和第1跖骨的复位效果进行评估。二者间的任何间隙或平行移位均应消除,以达到完美的复位效果。复位完成后行克氏针临时固定,直至完成最终的内固定。在进行第1、2、3跖跗关节复位时需置入2枚克氏针,其中1枚可确保复位后的稳定,另一枚则作为最终固定的导针(图.8-A,8-B,8-C)。

图.8-A

图.8-B

8-C
图.8
1名中足骨折患者的术中X线片。图中显示的是完成内侧柱复位和临时固定后的情况,A为正位像,B为斜位像,C为侧位像。第3跖骨和外侧楔骨间呈现出皱褶状关节边缘,提示关节面已经复位
第2跖骨基底部构成足横弓的顶点,是复位的关键。应通过切口A进行显露和固定(表I)。术中需要切开第2跖骨-中间楔骨关节的关节囊,直接显露关节外侧面。术中对此关节的内侧和外侧同时复位非常重要,复位后可在第2跖骨的内侧缘稍外侧和中心各置入一枚克氏针进行临时固定。切口B主用用于显露第3跖骨基底和外侧楔骨。(表I)
步骤2:外侧柱的最终固定
完成内侧柱的复位和临时固定后,继续处理外侧柱。第4、5跖骨通常发生背侧移位,在X线片上多表现为弥散性的分离而不是关节面的皱褶。对外侧柱的复位可通过骰骨内侧缘的斜位透视进行判断,2条关节线排列一致提示复位满意。通过切口C(表I),可在直视下完成外侧柱的外侧复位。复位后同样需要置入2枚克氏针临时固定。第一枚从第4跖骨基底穿入使其穿过关节面直至骰骨的内角。第二枚则从第5跖骨穿入,通过关节中心直至骰骨内角。
临时固定完成后,我们喜欢将所有克氏针剪短使其低于皮肤,以减少皮肤相关并发症,后者通常因软组织肿胀引起。
步骤3:内侧柱的最终固定
足舟骨和楔骨间的固定可选用跨关节内植物,这样可获得最大的稳定。第1跖跗关节可使用2枚螺钉固定(图.8-D,8-E和8-F)。第1枚螺钉从第1跖骨外侧拧入,朝向近端和跖侧进入内侧楔骨。如果需从背侧拧入,则应选择埋头螺钉,以避免钉尾对拇长伸肌腱形成磨损。另一枚螺钉从内侧楔骨拧入,朝向第1跖骨基底的跖侧突起。第2、3跖跗关节的最终固定,可直接以位于关节中心的克氏针为导针,并据此拧入一枚3.5mm螺钉或“Lisfranc”4.0mm螺钉。此种3.5mm和4.0mm螺钉的钉尾均为2.7mm,可减少对伸肌腱的磨损。用Donati-Allgöwer缝线闭合皮肤切口,保护皮缘血供的缝合技术见参考文献23.

图.8-D

图.8-E

图.8-F
图.8中足骨折患者的术中X线片。图中显示的是完成内侧柱最终固定后的情况。D,正位像;E,斜位像;F,侧位像。拧入第1跖骨与内侧楔骨间的螺钉时应确保2枚螺钉呈交叉排列,保留的克氏针应向跖骨表面折弯,降低其突起高度避免局部皮肤和软组织受压
九、术后处理
使用带衬垫的敷料包裹患足,使之保持中立位(plantigrade
position)并行石膏夹板固定,其外缠绕弹性绷带(Ace绷带)。使用弹性绷带的优势在于无需根据踝关节的肿胀情况进行二次调整。如果仍保留外侧柱的外固定架,需继续给予抗生素治疗(复方新诺明)6-8周,直至去除外固定。术后即可开始股四头肌锁定训练,以伸直膝关节和拉伸腓肠肌。同时需预防踝关节出现马蹄足挛缩。
术后2周拆线。如果同期进行了腓肠肌退缩术且没有使用外侧柱外固定架的患者,需继续佩戴玻璃纤维短腿支具,使踝关节保持于中立位;对于保留外固定架的患者则使用石膏夹板。拆线后可开始跖跗关节的被动活动训练及髋、膝关节的主动活动度训练。术后6周将支具更换为矫形靴进行保护。二期手术后6-10周,可将外固定架连同穿过第4、5跖骨-骰骨关节的固定针一同去除,开始进行主动的踝关节和距下关节活动训练,并在可耐受的情况下,穿矫形靴进行足跟负重。
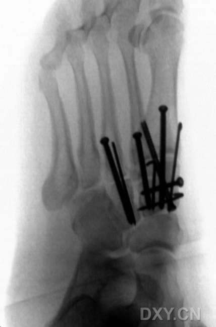
患者可开始穿加压弹力袜和矫形靴进行扁平足步态的行走功能恢复。也可使用矫形器进行相关恢复。至术后4个月,可开始穿矫形靴进行前足翻转功能恢复(图.8-G,8-H和8-I),并可开始尝试穿正常的鞋子行走。至术后6-9个月,如果患者仍有不适症状或原发损伤较重时,可配合使用合体的半定制足垫以促进康复。对于接受了腓肠肌退缩术的患者还应进行腓肠肌的力量和拉伸强化训练,以保持踝关节的正常运动范围。同时,应开始进行下肢的平衡和本体感觉训练。术后1年时对患者进行最终随访评估。

图.8-G

图.8-H

8-I
图.8
中足损伤患者术后3个月时的X线片。G,正位像;H,斜位像;I,侧位像。图中显示内侧柱活动解剖复位,对所用的非必要关节均进行了经关节面固定。注意第1、2、3跖骨的螺钉拧入位置,经此跖骨颈区域拧入螺钉可降低钉尾高度而减少磨损
并发症
中足损伤相关并发症非常常见。可将其细分为手术相关和非手术相关并发症。后者主要包括漏诊和畸形,如扁平足或创伤性关节炎等。皮肤或伤口愈合问题与手术时机(过早)、手术技术(切口周缘的剥离或建立皮瓣)及受伤至手术处理的时间间隔相关。手术中也可能因手术切口的选择或过度牵拉导致包括腓深神经(支配第1趾蹼背侧区域)、腓浅神经及腓肠神经在内的足部部神经结构损伤。此类手术中,对相关解剖结构的认识和理解非常重要。若未能有效恢复和保持内、中或外侧柱长度以及漏诊筋膜室综合症均可能导致出现区域疼痛综合症,所以在进行临时外固定时即应予以避免。胫前动脉损伤是最常见的血管损伤。而皮下内植物的位置及螺钉尾部或钢板的突起均可对其周围的神经结构造成激惹或对鞋造成磨损。内固定方式不当或固定强度不够均可造成内固定失败,并导致移植物断裂和中足塌陷。此外,无论是否进行手术干预,均可能因创伤后跟腱挛缩而引起足部持续疼痛。
十、预后
在一项回顾性研究中,对48例跖跗关节损伤病例进行了平均4.5年的随访,所有患者的AOFAS(美国足踝外科协会)功能性评分均值为77分,MFA(肌肉骨骼功能评分系统)评分均值为19分。1/4的患者出现创伤性关节炎,12.5%的患者需行补救性的关节翻修融合术。坚强的解剖位固定可获得最佳的治疗效果。单纯的韧带损伤病例预后较差,此类病例中40%存在症状性创伤性关节炎,而韧带-骨骼合并损伤病例中仅为18%。对25例接受ORIF(开放复位内固定)的中足损伤病例进行了分析,结果显示:对于单侧柱结构损伤的患者,康复后更偏好采用非损伤侧负重或非损伤侧负重时间更长,受累及的关节数量和关节炎的严重程度对此种步态无影响。柱结构粉碎且长度丢失可导致矢状面和冠状面上足部轴线的偏移,可导致步态改变并引发一系列后续症状。双柱损伤病例的临床和功能性预后更差,同时肥胖也可作为预后不佳的预测指标。
十一、争论:
融合 VS.ORIF
足的功能与柱结构和相应的关节相关。足舟骨是内侧柱的关键结构,需要保持刚性以维持内侧柱的稳定。骰骨则是外侧柱的关键结构,需要保持灵活性以保证外侧柱的活动。上述理念均在前面的“必要关节”(活动关节)与“非必要关节”(微动关节)等部分中进行了讨论。因此,各柱和关节的治疗方式的选择非常重要(包括克氏针临时固定、ORIF和关节融合术)。
在一项前瞻性研究中,对初次关节融合和ORIF治疗内侧柱及相应远端结构(第1、2、3跖跗关节)损伤的疗效进行了比较,包括了20名接受ORIF的患者和21名接受初次关节融合的患者。2组中达到解剖复位的患者人数分别为18名(ORIF组)和20名(关节融合组)。术后评分随访4.5年,其间5名ORIF组患者因创伤性关节炎接受了2次手术,无关节融合组患者接受2次手术。随访中,ORIF组的AOFAS评分均值为68.6分,关节融合组为88分。而在活动水平评估中,ORIF组患者平均可恢复至伤前活动水平的65%,关节融合组则恢复至92%。与ORIF组相比,初次关节融合组患者的短-中期功能恢复更好。
在另一项ORIF与初次关节融合治疗的比较中,22名患者被随机分入ORIF组接受治疗,而17名患者则接受了初次关节融合。所有患者均进行了最短2年的随访。2组患者中达到解剖复位的患者人数分别为21名(ORIF组)和16名(关节融合组)。ORIF组的再手术率为78.6%,主要原因是创伤性关节炎和内植物取出。而初次关节融合组的再手术率仅为16.7%,主要原因是内植物突起引起的激惹或不适。2组患者的SF-36和肌肉骨骼功能评分短表的评估结果无显著差异,但初次关节融合组有优于ORIF组的趋势。同时,前者的短-中期功能优于后者。
对185例Lisfranc损伤的连续病例进行回顾分析发现,总体感染率为4.3%。术后30%的患者存在疼痛。受累计的跖跗关节数量与最终的预后无关联。再手术率升高的相关因素包括多发伤、伤后至临时固定的时间间隔以及与高能量损伤相关的同侧骰骨和足舟骨损伤等。接受ORIF的患者及男性患者的术后活动评分更低。取出突起的移植物仅能改善主观评价的结果,而对其他功能性评估结果无影响。疼痛和多发伤是最主要的术后功能障碍的预测指标,此类患者的术后功能评分更低。与正常值相比,跖跗关节损伤可对关节活动造成长期的影响,但不会造成其他功能性损害。91%的患者均可恢复工作,这一结果非常优秀,工作中41%的患者可全天候进行足部运动。未能恢复工作的均是多发伤或遭受其他损伤而无法工作的患者。对跖跗关节损伤进行有效的手术治疗,可恢复足部的稳定和正常对线,如果没有移植物突起等情况,可获得长期的功能恢复。
十二、骰骨和足舟骨骨折
骰骨骨折的处理尚存争议。理论上推测,骰骨同时受到跟骨和第4、5跖骨基底的保护,发生骨折时无需手术干预。伴脱位或半脱位的移位骨折则有可能需要手术复位和固定,以缩短愈合时间和改善功能。通过ORIF,重建关节面并在关节边缘行打压植骨应该能有效恢复关节的延续性。但手术中必须达到骰骨的解剖复位,以恢复外侧柱的长度和足的对线(图.9-A和9-B)。骰骨关节的融合往往满意度较差。

图.9-A

图.9-B
图.9
69岁男性患者,术后10年时的X线片。A,正位像;B,侧位像。此患者因中足损伤接受了骰骨骨折ORIF和同种异体骨植骨,同时对内侧柱(第1、2、3跖跗关节)进行了解剖位坚强固定。截止至最后1次随访,患足功能恢复良好,无疼痛及日常活动受限,可穿着正常鞋
在一项对手术和非手术治疗骰骨骨折的比较研究中,对伴有半脱位或移位的骰骨骨折病例进行了相应的手术干预。在并发症方面,手术或非手术治疗患者无显著差异,但手术患者因内植物磨损而接受再次手术的比例更高。足舟骨骨折主要引起鞋的磨损模式的改变,并可增加继发性骨关节炎的发生几率。无法根据AO/OTA骨折分型系统对足舟骨骨折的预后进行判断。复位质量不佳与创伤性骨关节炎的发生率存在正相关。
足舟骨可能发生隐匿性骨折或半脱位,并导致足部持续存在疼痛和不适症状,此时患者仍能完成大多数的日常活动,但会对主观性评估结果造成不良影响。大多数外侧柱相关损伤均需同时稳定内、外侧柱。通过ORIF可获得更好的解剖复位,有效恢复内外侧柱的长度及足纵弓的拱形结构,从而获得更好的治疗效果。
研究中对90例接受手术或非手术治疗的足舟骨骨折病例进行了观察,均为严重损伤病例-合并有3处或以上的足部损伤。此组病例的预后较差。合并骰骨骨折的患者出现创伤性关节炎、持续疼痛及需要穿着定制鞋的比例较高。合并有距骨和胫骨远端损伤的病例,几乎无法恢复工作。植骨有助于提高骨折复位质量,后者与疼痛和创伤性关节炎发生率及术后活动水平呈负相关。肥胖患者的术后疼痛及创伤性关节炎发生率更高,且骨折复位后的保持能力更差。合并有骰骨骨折的病例,AO/OTA分型系统无法有效预测其预后。
足舟骨骨折相当脆弱,需要同时恢复内侧柱长度和关节面的延续性。骨折复位的质量与远期发生创伤性关节炎的几率相关。术后疼痛、创伤性关节炎及足部形态的改变(无法穿着正常鞋)均会对术后疗效的评估造成不良影响。现有的分型系统无法对预后进行有效预测。
十三、概述
中足的解剖非常复杂,由多个骨与关节结构组成并有更为复杂的韧带、关节囊和筋膜网相连,诸结构协调一致方能保证足部正常无痛的活动。Lisfranc和Chopart关节分别是中足的远端和近端关节。中足必要关节的活动必须恢复,而非必要关节则可采取融合术恢复其稳定,这是处理中足骨折的基本策略。高质量的足正位、侧位及斜位X线片和CT扫描图像,并在必要时增加应力位X线检查有助于中足相关损失和骨折的诊断,而MRI检查则主要用于确定Lisfranc韧带的损伤。手术时机的选择应慎重考虑。内侧柱和/或外侧柱的严重骨折并伴有短缩时必须及时给予外固定架临时固定。
等待软组织肿胀消退需要一段时间,此间应针对内、外侧柱的骨折及相应的跖跗关节和跖骨间关节损伤制定详细的手术计划。手术治疗和术后康复中应重视跟腱挛缩的预防,一旦发生会严重影响手术治疗及康复的效果,并将术后不良反应进一步放大。中足损伤的预后还有待进一步评估,但可以确信,骨结构的解剖复位和足部对线的恢复是获得良好预后的基础。中足损伤在临床上非常少见,但最终的疗效与术者的能力密切相关。外科医师需花费大量的时间方能完成整个学习曲线,积累足够的治疗经验和手术技巧。
相关文章