
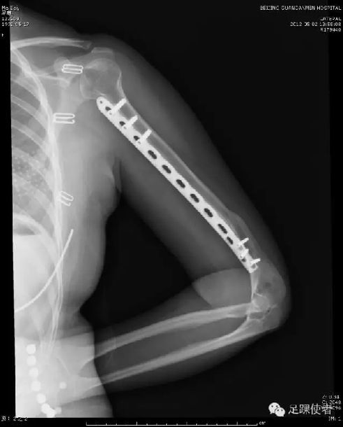
肱骨干骨折是上肢比较常见的骨折之一,过去肱骨干骨折的治疗需要经一个很大的切口进行手术,组织损伤广泛,出血多,还容易损伤重要的血管神经。
现在我们开展了微创治疗肱骨干骨折的新方法,只需经过两个小切口就可以复位骨折,并且放入一枚很长的钢板。即可靠地固定了骨折,又减小了组织损伤。
目前这种术式在我院已开展百余例,术后效果均良好,患者对疗效也表示满意。









创伤骨科是骨科各学科的基础。足踝使者本人在专门治疗足踝疾病之前,也是一名创伤骨科医生。创伤骨科医生的治疗方式十分灵活,也正是在创伤方面打下的基础,才使我在足踝矫形方面的工作游刃有余。





相关文章